Skip Menu
Continue
Call
Today
for a Free Consultation
51 Madison Avenue, Ste. 1400, New York, NY 10010
(646) 374-1811
Home
About Us
Our Office
New Patients
Smile Gallery
Dental Videos
Testimonials
Our Doctors
Harvey Katz, DDS
Services
View All
Dental Health
Contact
Contact Us
Request Appointment
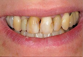
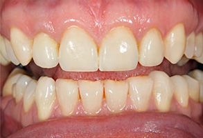
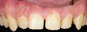
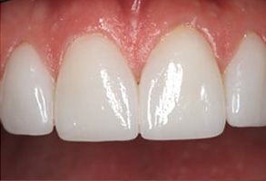
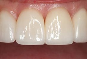
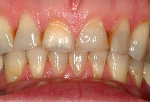
Smile Gallery
Before
After
Before
After
Before
After
Before
After
Before
After
Before
After
Before
After
Before
After
Before
After
51 Madison Avenue, Ste. 1400
New York, NY 10010
(646) 374-1811
Appointment
Contact Us